La Queratítis Infiltratíva por Acanthamoeba
Imágenes clínicas e histopatológicas del Dr. Francisco Barraquer Coll
Presentado por Dr. Carmen Barraquer Coll
La sospecha clínica de que una infección corneal es causada por Acantamoeba es la primera condición indispensable para llegar a su dignóstico temprano e iniciar su tratamiento, buscando su resolución y minimizar las secuelas.
Definición de Acanthamoeba
- Protozoario unicelular oportunista
- No es un parasito
- La exposiciòn es inevitable, pero la infección es rara
- Anticuerpos Especificos en 90% de la población
Ciclo de vida de la Acanthamoeba
- Trofozoitos y Quistes
- Trofozoitos: forma vegetativa (activa), se alimenta de bacterias, algas y levaduras. Forma quistes en condiciones adversas
- Quistes (pasiva): sobreviven a los antibioticos, a bajas temperaturas, a dosis elevadas de luz ultravioleta y a la radiación. Pueden sobrevivir hasta 24 años
- Las Acanthamoebas se clasifican según su secuencia de 18rRNA en tipos ( T1 a T20) - El genotipo mas frecuente es el T4
Factores de Riesgo
- Uso prolongado de Lentes de Contactos
- Contacto con agua contaminada
- Superficie corneal lesionada
- Trauma corneal
Infección
- La simple abrasión de la superficie corneal induce la sobreregulación de proteinas mannosiladas, condición que favorece la adhesión de los trofozoitos de la Acanthamoeba
- Una vez ocurre la adhesión, la membrana celular del trofozoito genera la liberación de una proteasa (MIP-133) que induce apoptosis y citolísis del epitelio corneal y permite la erosión del estroma subyacente
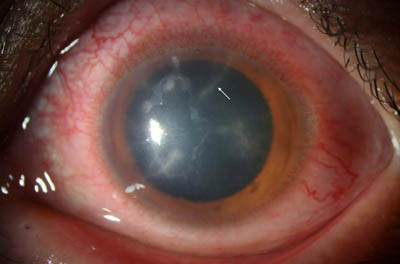
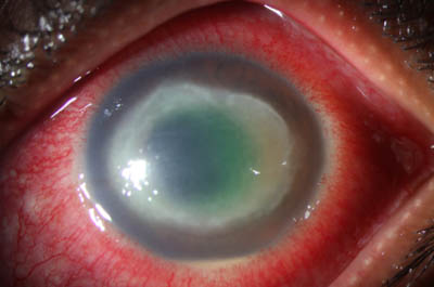
Aspecto Clínico
- Superficie corneal irregular y grisacea
- Opacidades granulares en parche
- Formación de lineas epiteliales elevadas de aspecto granular, que pueden dar imágen de seudodendritas
- Opacidades superficiales satélites
- Ulceración epitelial variante
- Formación de anillo inmunológico
- Dolor intenso (no siempre presente)
Superficie corneal irregular y grisácea
Opacidades granulares en parche
Perineuritis
No tienen los bulbos terminales de las dendritas del Herpes Simple
Formación de lineas epiteliales elevadas que pueden dar la imagen de Seudodendrítas
Dendritas Herpéticas
Formación de lineas epiteliales elevadas que pueden dar la imagen de Seudodendrítas
Formación de lineas epiteliales elevadas que pueden dar la imagen de Seudodendrítas + Perineuritis
Opacidades superficiales satélites
Ulceración epitelial variante
Diagnóstico diferencial
- Queratítis Herpética
- Queratítis Bacteriana
- Queratítis Micótica
Conducta
- Tomar frotis para estudio microscópico y cultivo, antes de iniciar un tratamiento o modificar el tratamiento en el paciente
- Microscopia Confocal : 94 a 100% de especificidad y 80 a 84% de sensibilidad
- Frotis con extendido en capa sin colorear (contraste de fase)
- Frotis extendido en capa con tinción: 60% de especificidad
- 4. Cultivo para Acanthamoeba: ( Agar cubierto con E.Coli como alimento para Acanthamoeba) que incluya Hongos y Bacterias
- PCR ( Polymerase Chain Reaction) hace además la geno-tipificación, pero requiere estandarización y un laboratorio equipado . No distingue entre Acanthamoeba viva o muerta
- Tejido procesado fijado en parafina
A - CW B - Giemsa C - PAS D - Gram
http://www.institutobarraquer.com/sources/articulos/acanthamoeba.html - Dr. Francisco Barraquer Coll Nora Szentmary, Loay Daas, Lei Shi , Kornelia Lenke Laurik, Sabine Lepper, Georgia Milioti, Berthold Seitz. Acanthamoeba keratitis, Clinical signs, differential diagnosis and treatment Journal of Current Ophthalmology 31 (2019) 16-23
Microscopía Confocal
Frotis - extendido en capa
Preparaciones de extendido en capa sobre laminilla con agua destilada sin colorear, en campo claro y bajo contraste de fases: permite buena visualización de las formas Quísticas de Acanthamoeba
Magnificación 160x
Tinción CW
Blanco de Calcofluor + Azul de Evans
Magnificación 160x
Tinción Giemsa
Magnificación 160x
Magnificación 160x
Tinción PAS
(Acido Periodico de Schiff)
Magnificación 160x
Magnificación 160x
Tejido corneal Procesado
H&E
PAS
CW
PAS
Factores que influencian la severidad de la infección
- La virulencia inherente al protozoario
- La cepa del organismo
- La magnitud de la exposición (carga)
- La presencia de presas para las Acanthamoebas
- Factores del huesped: Integridad epitelio corneal y respuesta inmunitaria
- Tiempo transcurrido antes de la sospecha
Evolución clínica
Cuando el diagnóstico es temprano y la infección por Acanthamoeba es superficial(intraepitelial), su resolución con el tratamiento será más rápido, minimizando las secuelas respecto a lo que ocurre después de ese tiempo, cuando el organismo ya esta infiltrando y comprometiendo el estroma corneal.
Estado Intraepitelial
Inicio de síntomas 30 dias- curación 2 meses
Inicio de síntomas 15 días - compromiso intraepitelial+estromal inf. 5 meses para curación
1
2 meses
3 meses
4 meses
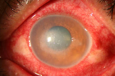
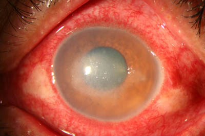
El cuadro clínico inicial progresa, aparecen infiltrados estromales anteriores focales o difusos, edema circunscrito y a veces perineuritis
inicio de síntomas 20 días - 6 meses para curación
1
1 mes
2 meses
6 meses
14 meses
20 meses
En su evolución se observará aumento del edema, aparición de un anillo inmunológico (Wessely), agrandamiento y coalescencia de los infiltrados que progresan hacia la formación de un absceso, queratolisis superficial, adelgazamiento y perforación corneal.
Anillo inmunológico de Wessely
- Es la expresión de la interacción de los antígenos extraños con los anticuerpos que se difunden desde los vasos limbares hacia el estroma.
- Representa la formación de un complejo inmune que activa el sistema del complemento.
- El anillo de Wessely contiene principalmente neutrófilos
- Puede aparecer en procesos no infecciosos
Inicio de síntomas 60 días - 12 meses curación
1
2.5 m
3.5 m
5 m
6 m
12 m
Inicio de síntomas 5 meses - 6 meses curación
1
15 dias
5 s
3 m
Inicio de síntomas 9 días - 6 meses curación
1 Inicial
2 meses
6 mese
Varios años después
La vascularización y el hipopion son poco frecuentes en los estadios tempranos de la queratitis. Con el tiempo, en los estados avanzados de invasión estromal, aparecen vasos estromales
Inicio de síntomas 40 días - 12 meses curación
1
15 dias
2 meses
4 meses
8 meses
19 meses
Tratamiento
- Diamidinas Aromáticas (Brolene)
- Representa la formación de un complejo inmune que activa el sistema del complemento.
- Desinfectantes Catiónicos Biguanídicos (Clorhexidina)
- Imidazoles (Itraconazol - Voriconazol)
- Aminoglicósidos (Neomicina - Paramomicina)
Monoterapia:
- Gluconato de Clorhexidina 20% Clorhexidina 0.02% : 1 gota c/h
- Isotionato de Propamidina 0.1% (Brolene colirio o unguento) 1 gota c/h
- PolyHexaMethylene Biguanide 0.02% (PHMB) 1 gota c/h
- Di-isotionato de Hexamedina (Desomedina 0.1%) 1 gota c/h
Terapia Doble: Cuando se combinan dos de los anteriores , alternados con Terapia con Apoyo: Monoterapia o Terapia doble +
- Neomicina 0.5% o Paramomicina tópicas
- Voriconazol tópico 1% u oral
- Itraconazol 1% tópico
- DYodoPovidona 0.5% al 2.5% tópica
- No Corticoides al inicio
- Atropina 1% 2 al dia varios días,.....1 al dia
- Analgésicos para el dolor
- Antibióticos Tópicos en dosis bajas por un corto período, si se requiere
- Atención a la PIO
Perineuritis
Recomendaciones al Tratamiento
- Controles frecuentes - cada 3 dias inicial - cada 8 -10 dias - cada 20 o 30 días hasta resolución total
- Frotis periòdicos para control de la carga, con curetaje superficial
- Repetir cultivos
- Recubrimiento Conjuntival en inminencia de perforación
- Para Injerto de córnea si precisa, esperar 1 año o mas después de la curación
Cuando la invasión por Acanthamoebas es estromal, la respuesta celular tiene como consecuencia, que la abscesificación del estroma continuará aumentando a pesar del tratamiento….. y su resolución es lenta.
Existen las reactivaciones
1
2 meses
3 meses
6 meses
10 meses
Existen las recurrencias -O.Izq - 2015
Existe la Infección en Ambos Ojos OD del caso con recurrencia - 2015
1
2 meses
3 meses
8 meses
13 meses
Actual
Existe las Excleritis
Ínício síntomas 6 meses - evolución catastrófica
1-2012
2m-2012
2019
Evolución Complicada
Início síntomas 60 dias - No PL
primer dia
1 mes
3 mes
5 mes
Tanto las Acanthamoebas vivas como sus productos de degradación son marcadamente inmunogénicos y antigénicos.
En la respuesta celular a la infección por Acanthamoeba, los macrófagos las fagocitan y los neutrófilos las destruyen vía secreción de mieloperoxidasas.
las preguntas sin resolver...
¿Porque la respuesta neutrofílica es efectiva dentro del ojo e inefectiva en la superficie ocular ??
Lacerda AG & Lira M Acanthamoeba keratitis: a review of biology, pathophisiology and epidemiology. Ophthalmic Physiol Opt 2020 htpps://doi.org/10.1111/12752
Clarke, D.W., Alizadeh, H., Niederkorn, J.Y., 2005. Failure of Acanthamoeba castellanii to produce intraocular infections. Invest. Ophthalmol. Vis. Sci. 46, 2472–2478.
