Caso 1
Historia Clínica
Mujer de 32 años con cefalea después de liposucción con anestesia general 10 días antes de consultar
AV: OD 0,15 OI 0,30 con corrección
Midriasis media
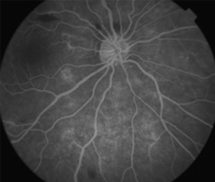
Angiografía OD
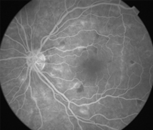
Angiografía OI
IDX
Retinopatía de Purtcher Secundaria a Embolismo Graso después de Liposucción
Tratamiento
ASA 100 mg día
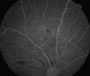
Evolución
2 meses: disminución de manchas algodonosas y hemorragias con mejoría de circulación
Funcional
OD - 0,50 esf 0,9 +2
OI -0,25 esf 1,00
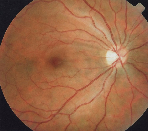
Retinopatía de Purtcher
Angiopatía retiniana traumática con manchas algodonosas, extravasación linfática después de aumento de presión intracraniana.
Causas
- Trauma torácio
- Síndrome de presión hidrostática
- Embolismo graso
- Pancreatitis
- Dermatomiositis
- Esclerodermia
- Embolismo de líquido amniótico
- Post parto
- Bilateral, 20/200 a CD, alteración de la capa de fibras nerviosas, atrofía disco óptico.
- Angiografía: teñido arterial, escape capilar, más tardíamente, no perfusion arteriolar y venular con teñido de las paredes vasculares y dilatación venosa.
- Mecanismos
- Embolia grasa
- Embolismo por compresión torácica
- Reflujo venoso con edema endotelial
- Respuesta angioespástica después de aumento de presión venosa y agregación granulocítica y de complemente
- Agregación leucocitaria por activación del factor V de complemento
- Diagnóstico inespecífico
- Tratamiento: soporte, heparina (no claro), corticoids (no claro), prevención de hipovolemia. Observación.
